Endodontics

Endodontists are dentists who specialize in tooth pain, disease, and infection. They diagnose and treat tooth pain and perform root canals, a special procedure designed to save an infected or decayed tooth. Some of the procedures used in endodontics include:

Root canal treatment (RCT)

This is one of the most common procedures for treating the dental pulp in moderate-to-severe cases of tooth decay. The infected tooth is opened up at the crown to provide access to the root canal within. All infected material is removed and once the tooth is clean, the root canal is enlarged so that it can be filled with a temporary dental filling. Once the tooth has healed, this temporary filling is removed, replaced with the permanent filling and the tooth sealed to prevent a recurrence of infection. A crown may be placed over the tooth to protect the tooth from damage.

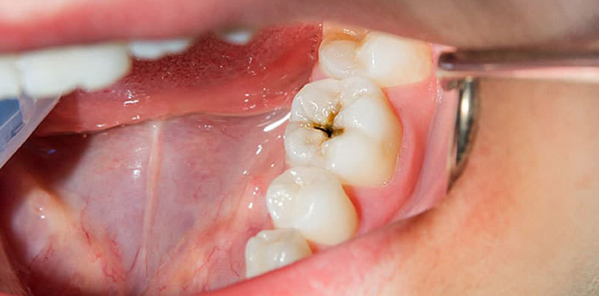
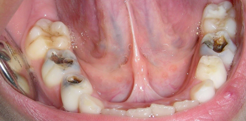
Bacterial infection

Bacteria can get into the pulp of a tooth through small openings created by tooth decay or injury. Inflammation or a bacterial infection of the pulp is the most common reason people see an endodontist.

Tooth injury

If your tooth gets dislodged from its socket or totally knocked out, an endodontist can place the tooth back in the socket, stabilize it, and then often perform a root canal on it.

Chipped or fractured tooth

You may need a root canal if a large section of a tooth is missing, exposing the pulp to bacteria.